Bilecik’in Osmaneli ilçesinde bir aracın çarpması sonucunda ağır yaralanan köpek ameliyat edilirken, sağlık durumunun iyiye gittiği açıklandı.
Olay, D650 karayolu üzerinde Osmaneli Organize Sanayi çevresinde meydana geldi. Edinilen bilgilere göre, bir aracın çarptığı köpek ağır yaralandı. İhbar üzerine olay yerine sevk edilen Osmaneli Belediyesi Hayvan Barınağı ekipleri yaralı köpeği koruma altına aldı.
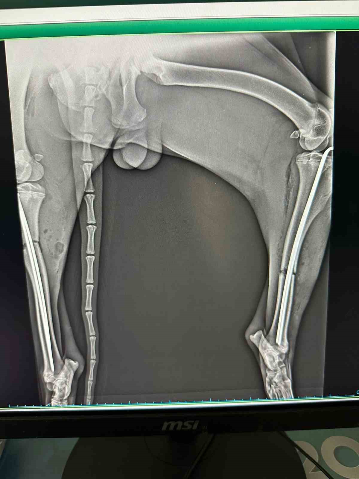
Ameliyat edilen köpeğin sağlık durumu iyiye gidiyor
Veteriner hekimler tarafından köpeğe müdahale edildi. Yapılan tetkiklerde hayvanın sağ ve sol bacaklarında kırıklar olduğu belirlendi. Yaralı köpek, Osmaneli Belediyesi veteriner hekimi tarafından acil olarak ameliyata alındı. Başarılı geçen operasyonun ardından tedavi sürecine alınan köpeğin gözlem altında tutulduğu ve sağlık durumunun iyiye gittiği bildirildi. Yetkililer, tamamen iyileştikten sonra hayvanın doğal yaşam alanına bırakılacağını açıkladı.
Sokak hayvanlarına karşı duyarlı olunması konusunda çağrı yapan Osmaneli Belediyesi, benzer durumlarda vakit kaybetmeden yetkililere bilgi verilmesini istedi.









