5
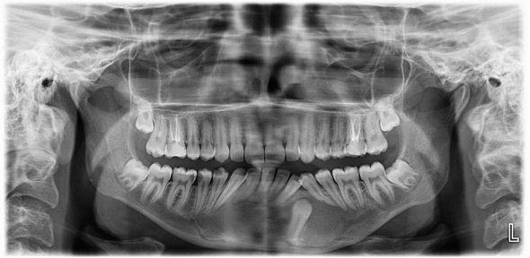
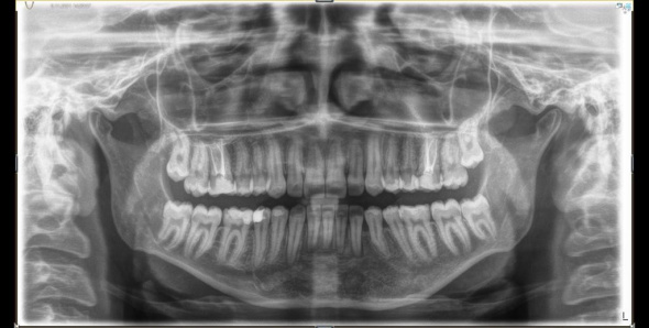
Gömülü bir dişle birlikte 7,5 santimetrelik kistin çene bölgesindeki sinirleri ve kemik yapısını etkilediğini belirten ESOGÜ Ağız, Diş ve Çene Cerrahisi Anabilim Dalı Öğretim Üyesi Doç. Dr. Nesrin Saruhan, hazırlıksız yapılacak ameliyatın büyük risk taşıdığını belirtti. Sinirlerde uyuşukluk ve çene kemiğinde kırık oluşmasını engellemek için kist küçültme ameliyatı yaptıklarını belirten Doç. Dr. Nesrin Saruhan, “Tuğçe bize geldiğinde 15 yaşındaydı. Alt çenesinde sağdan sola uzanan 7,5 santimetrelik oldukça büyük bir kisti vardı. Bununla ilgili birkaç merkeze gitmiş ama Eskişehir’de bu tedavinin yapılamayacağı bilgisi verilmiş. Kendisi kliniğimize geldiğinde önce radyolojik muayenelerimizi yaptık. Oldukça büyük bir kist vardı. Hem sinirle ilişkiliydi hem de alt çene kemiğini zayıflatmıştı. Bir de gömülü dişi vardı. İlk etapta parça alıp biyopsisini yaptık. Kist tanısını koyduktan sonra iki aşamalı tedavi planladık.