Kahramanmaraş’ta geçirdiği trafik kazası sonrası boynuna 30 santim uzunluğunda tahta parçası saplanan 19 yaşındaki genç kız, KSÜ Tıp Fakültesinde gerçekleştirilen ameliyatla sağlığına kavuştu.
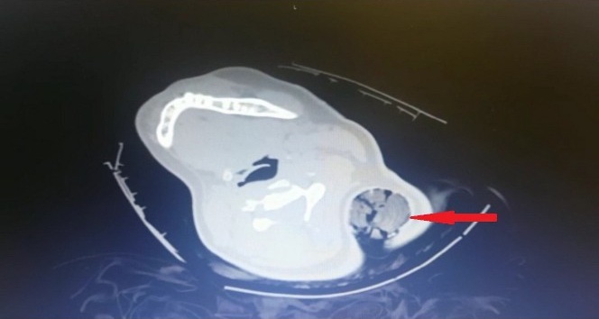
Pazarcık ilçesinde meydana gelen trafik kazasında 19 yaşındaki B.Ö.’nün boynuna 30 santim uzunluğunda tahta parçası saplandı. Boynundan giren ve koltuk altından görülen tahta parçasıyla Kahramanmaraş Sütçü İmam Üniversitesi (KSÜ) Sağlık Uygulama ve Araştırma Hastanesinde kaldırılan genç kız acil ameliyata alındı.
Yaklaşık yarım saat süren ameliyat sonrası çıkarılan tahta parçasının inanılmaz bir şekilde sinir ve damarlara zarar vermemesi neticesinde genç kız, tedavisinin tamamlanmasının ardından taburcu edildi.
Tahta kazığı ameliyatla çıkaran KSÜ Tıp Fakültesi Ortopedi ve Travmatoloji Anabilim Dalı Öğretim Üyesi Dr. Bülent Güneri, genç kızın sadece bir kaburgasının kırıldığını, sinir ve damarlarının zarar görmediğini belirterek, "Tıp literatüründe bu şekilde boyundan girip koltuk altından çıkan bir cisim yok. Hastayı acil ameliyata aldık. Ameliyat esnasında Göğüs Cerrahisi hocamız Dr. Öğretim Üyesi Ahmet Acıpayam ve Kalp ve Damar Cerrahisi hocamız Doç. Dr. Mehmet Acıpayam hazır bulundular herhangi bir komplikasyona yönelik olarak. Ameliyathanede yaptığımız değerlendirmeden sonra anestezi altında yaklaşık 30 santimetrelik tahta bir kazık çıkardık hastadan. Kazık, hastanın saçlarını dolayarak boynundan girip sol kol altından çıkmıştı. Ve böyle kirli bir yaralanma, ev dışında, sokakta olan bir yaralanma enfeksiyon açısından oldukça risklidir. Ama ameliyat esnasında yaptığımız girişimler ve titizlikle uyguladığımız antibiyotik tedavisi sayesinde hastamızda bir enfeksiyon meydana gelmedi” dedi.
Olayın çok ilginç olması nedeniyle daha önce bu ve buna benzer bir vakanın olup olmadığını araştırdığını belirten Güneri, şunları kaydetti:
“Tıp literatüründe benzer yaralanmalar var, metal ve tahta cisim saplanmaları görülüyor. Ancak bu şekilde boyundan girip koltuk altından çıkan bir cisim yaptığım taramalarda tespit etmedim. Ancak literatürde bildirilen vakalarda çok ciddi sinir yaralanmaları ya da omuriliğe saplanıp da enfeksiyona yol açan bu nedenle tedavi görmek zorunda olan hastalar mevcut. Bizim hastamızda herhangi sinir veya damarsal yapıya denk gelmedi ancak bir kaburga kırığına yol açtı ve içeride bol miktarda hastanın saç bulunduğu için bizi daha çok uğraştıran içeride bulunan saç parçalarıydı. Biz, kazığın gidiş yönü boyunca açmayıp, kazığı ters yönde çıkartıp içeriye bol miktarda steril sıvıyla yıkama uyguladık ve iyi bir antibiyotik tedavisi verdiğimizi düşünüyorum. Bu sayede de bir sorun meydana gelmedi. Hasta oldukça talihli bence. Beni ve ekibimi oldukça şaşırttı. Ve hastayı birlikte değerlendiren cerrahi branştan diğer hocalarımızı da oldukça şaşırttı. Adeta mucize gibiydi diyebilirim.”








