Kayseri’de jandarma ekipleri tarafından düzenlenen operasyonda kente mide ve bağırsaklarında uyuşturucu madde sokmaya çalışan 3 şüpheli yakalandı.
Edinilen bilgiye göre, İl Jandarma Komutanlığı ekipleri tarafından yapılan çalışmalarda, yabancı uyruklu A.O., M.S. ve P.S.’nin İran’dan temin ettikleri uyuşturucu maddeleri ağızdan yutmak suretiyle mide ve bağırsaklarında gizleyerek kente getireceklerini tespit etti. Şahısların bulunduğu aracı takibe alan ekipler Ankara yolunda aracı durdurdu. Şahıslar gözaltına alınırken, yapılan üst ve eşya aramalarında 20 gram uyuşturucu madde ve 117 adet uyuşturucu hap ele geçirildi.
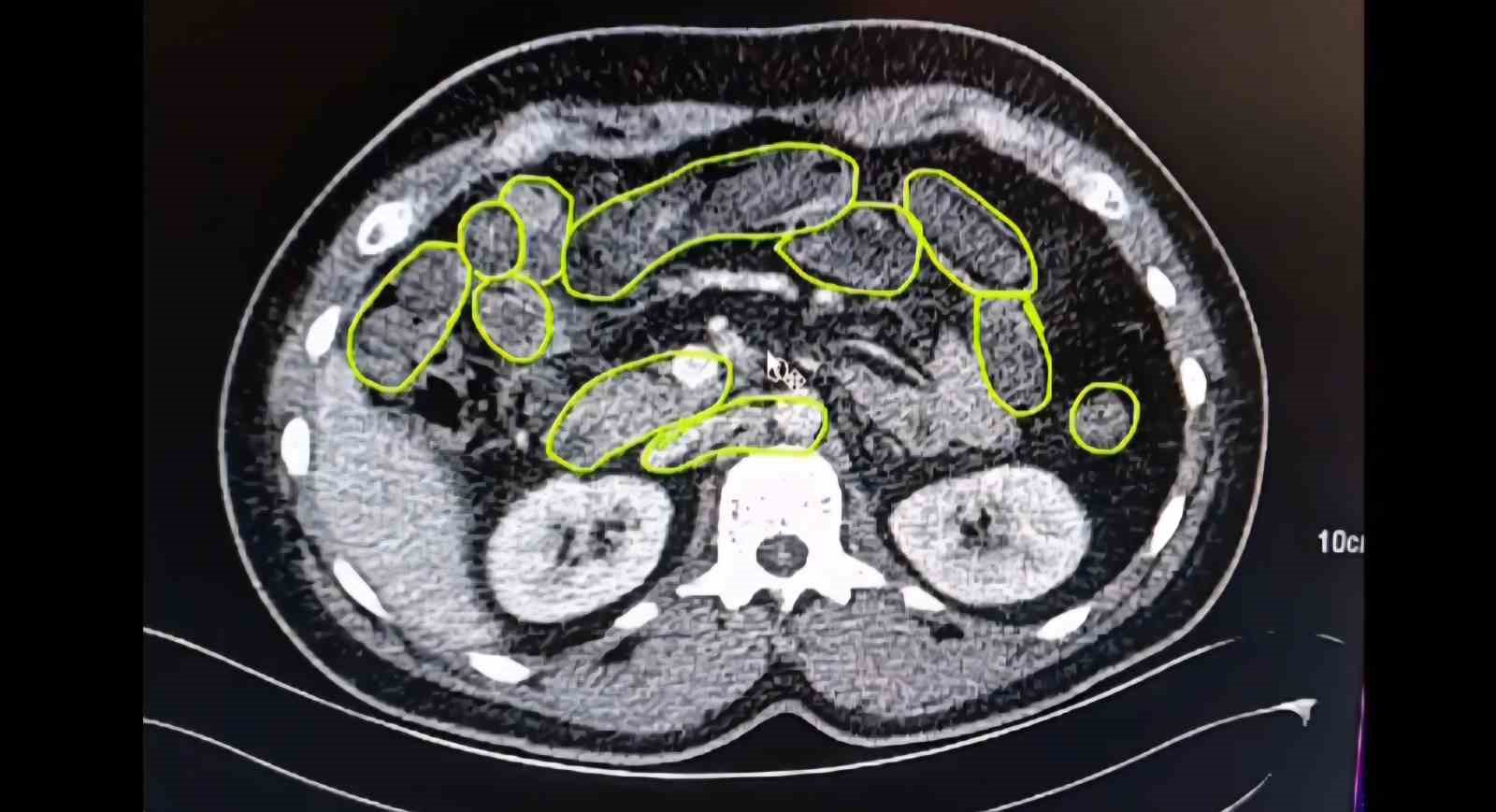
Şüphelilerin Kayseri Şehir Hastanesinde iç beden muayenesine alınırken, mide ve bağırsaklarında da çok miktarda kapsül şeklinde uyuşturucu olduğu değerlendirilen yabancı maddeler tespit edildi.
Kayseri Valisi Gökmen Çiçek de jandarma ekiplerini kutlayarak, "Kayseri İl Jandarma Komutanlığımız, gençlerimizi zehirlemek isteyen alçaklara yine fırsat vermedi, vermeyecek. Şehrimize uyuşturucu sokmak isteyen alçaklar, Başsavcılığımızın koordinesinde jandarmamızın titiz takibiyle ellerindeki uyuşturucu ile kıskıvrak yakalandı. Ellerinde yakalanan uyuşturucuyu midelerinde de getirmeye çalıştılar. Her yolu deniyorlar. Hangi yolu denerseniz deneyin kaçamayacaksınız, başaramayacaksınız. Bu şehirde uyuşturucu satamayacaksınız" dedi.









